|
〒806-0032 |
|
|
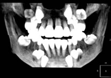
今春2月より当院に歯科用CTが導入されました。 |
![]()
歯が骨の内側と外側の厚みの中でどこに位置するかがわかります。 デーモンシステムでは骨も外側へ拡大してくれますから、その変化はCT無しではわかりません。 |
VR(ボリュームレタリング)
|
VR(ボリュームレタリング)では表面から内部のデータもあらわした三次元構成です。 ![]() ![]() |
見えなかったものが見える
|
歯科用CTでは、歯以外の骨の構造(柔らかい、硬い)、のう胞,腫瘍、神経管の位置などの立体構造がわかります。 |
安全性の確立
|
被爆量は医科用のCTのなんと100分の1。 |
北九州で矯正歯科をお探しなら
北九州で矯正歯科をお探しなら【HANAデンタルクリニック】へご来院ください。世界中で高評価を受けている最先端のデーモンシステムを導入しており、短い期間で痛みの少ない矯正治療を実現しています。
費用に関しましてはわかりやすく追加料金のないトータルフィー方式を採用しているため、ご安心ください。透明で目立たないマウスピース治療装置もありますので、歯並びのコンプレックスを解消したいという方はぜひご相談ください。






