福岡県北九州市 矯正歯科治療 症例 八重歯 出っ歯 すきっ歯

矯正歯科専門サイト

福岡県北九州市八幡西区
HANAデンタルクリニック
TEL:093-641-4323

 

矯正歯科・症例

HOME > 矯正歯科・症例

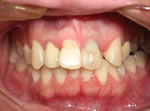
症例1 右上前歯埋伏 (歯がはえてこない)

矯正歯科初診

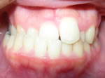
症例2 叢生 (乱杭歯・八重歯)

歯科矯正初診

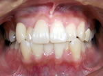
症例3 上顎前突・左上2番口蓋転移 (出っ歯・左上前歯の位置異常)

歯並び初診

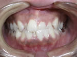
症例4 開咬(前歯がかみ合わない、閉じない)

はならび矯正初診

症例5 右交差咬合(すれ違い咬合)

噛みあわせ初診

症例6 コルチコトミー矯正治療(皮質骨切除術)

コルチコトミー初診

症例7 叢生(乱杭歯・八重歯)

かみあわせ初診

症例8 前歯交差咬合(すれ違い咬合)

歯ならび初診

症例9 下顎前突(受け口、下の歯や下の顎が出ている)

矯正初診

症例10 下顎前突(受け口、下の歯や下の顎が出ている)・すきっ歯

矯正歯科治療初診

Page Top